ぜひ、当院へお気軽にご相談ください
患者さまを極力お待たせしないために、予約制を採用しております。
当日は大変込み合いますのでお早目にご予約をお願いいたします。
お電話での相談のご予約は076-213-8148
皆様が安心して日常の生活を笑顔で送っていただけるよう、
お口から始める身体の健康増進のお手伝いをできる歯科医院を目指します。
お困りの際はお気軽になんでもご相談ください。

Copyright © TADA Dental Clinic Co.,LTD. All Rights Reserved.


今までになかった新しい矯正のカタチ。
いつも通っている
「
」で!
「ちょっと気になる所」を、
「目立たないもの」で
「比較的安価」に
「普段診療してくれる先生」が治します。

「前歯の傾きがちょっと気になる」、
「歯と歯の隙間をなくせたら」、
「あとちょっと歯並びを良くしたい」
と思ったことはありませんか?
「そんな些細なことにお金や労力をかけてまで
目立つワイヤーをつけて矯正治療をするほどでも…」
と諦めていませんか?
この治療はあなたの笑顔を更に輝かせ、
あなたの見える世界も更に輝きます。
動画で確認する▼


結婚式を控えている方

海外の人とお仕事を
する方

スポーツをしている方

ワイヤー矯正後の
後戻りが気になる方

歯型模型を最先端レーザースキャニングマシンで3Dデータにし最先端のソフトウェアを使用して、歯を正しくきれいな位置にデザインします。
治療を始める前に、最終的な歯並び予測を3D画像上で確認することができ、納得してからスタートできます。
術前診断のみのご相談も可能です。
写真や歯型だけの簡易診断も受け付けております。
使用方法はとても簡単。
1日20時間装着し、10日〜2週間ごとに新しいマウスピースに交換するだけです。
マウスピースはすぐに慣れるため、会話にストレスはありません。取り外しが自由にでき、ブラッシングが簡単でお口の中もマウスピースも衛生的に保てます。
マウスピースを装着していることを気付かれないマウスピース矯正なら、どんな場面でも自信を持って行動できるでしょう。
アライナー治療は万能ではありません。前歯のみを対象とした矯正治療です。
奥歯をさわらないので、かみ合わせの違和感が少なく治療期間が短縮できます。
ただ歯科クリニックでは、しっかりと正確に診断を行い、無理に治療を勧めることはありません。ケースによってはお断りさせていただくことがございますので、あらかじめご了承ください。

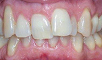
| 情報 | Before | After |
|---|---|---|
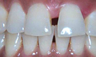
| 23歳/女性 期間:6ヶ月 / LEVEL:2 |
![]() |
![]() |
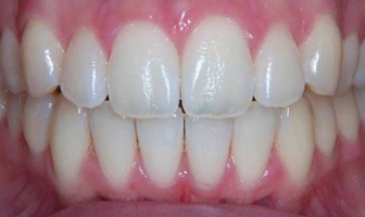
| 情報 | Before | After |
|---|---|---|
| 33歳/男性 期間:3ヶ月 / LEVEL:1 |
![]() |
![]() |
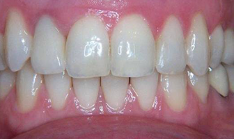
| 情報 | Before | After |
|---|---|---|
| 20歳/女性 期間:5ヶ月 / LEVEL:2 |
![]() |
![]() |
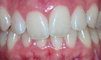
| 情報 | Before | After |
|---|---|---|
| 42歳/男性 期間:3ヶ月 / LEVEL:2 |
![]() |
![]() |


| 治療方法 | スマイルトゥルー、アソアライナー |
|---|---|
| 治療説明 | スマイルトゥルー、アソアライナーは透明のマウスピース矯正です。 当院では症例に応じて矯正装置の種類を選択します。 |
| 治療費 |
|
| 治療の副作用(リスク) |
|
| 治療期間 | 1年〜1年半(これ以上は専門医へ) |
| 適応症例 | 空隙歯列、下顎前突、上顎前突、開咬、叢生などの前歯の歯列不正 |
| カウンセリング当日の治療 | カウンセリングまで |
| 入院の必要性 | なし |
| 術後の制限事項 | 保定期間あり(最低2年) |
| 不適応の症例 |
|
患者さまを極力お待たせしないために、予約制を採用しております。
当日は大変込み合いますのでお早目にご予約をお願いいたします。
お電話での相談のご予約は076-213-8148
皆様が安心して日常の生活を笑顔で送っていただけるよう、
お口から始める身体の健康増進のお手伝いをできる歯科医院を目指します。
お困りの際はお気軽になんでもご相談ください。